
يمكنك إضافة "الحد" إلى قائمة الشروط التي لا تريدها. يمكنك أيضًا إضافة "الحد" إلى قائمة الشروط التي تقع تحت سيطرتك ، بل يمكنك أيضًا إضافة "السكتة الدماغية" إلى قائمة الحالات التي تقع تحت سيطرتك

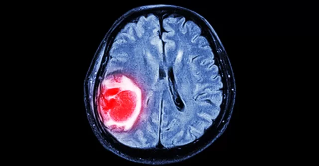
أورام الدماغ الحميدة أو الخبيثة لها مشاكلها الخاصة. نحن نطلق على أورام الدماغ اسم الآفات التي تشغل الفراغ ، وإذا تخيلت أن الدماغ عبارة عن صندوق مغلق فإن الورم المتنامي داخل الصندوق يضغط على أنسجة الدماغ السليمة ، وهذا يدل على أول إشارة إلى وجود خطأ ما

ارفعوا أيديكم لكل من يتذكر الثاني من ديسمبر عام 1954م ، في أيام الشدة قبل أقلام الحبر الجاف ، من الجميل أن أرى بعضكم لا يكذب بشأن عمركم

؟ قد لا تكون على حق ، قد يكون ذلك علامة على قلة النوم ، الناجم عن انقطاع التنفس الانسدادي أثناء النوم. كما ترون لا تحتاج إلى قضاء

الإجهاد هو شيء طبيعي يمكن العثور عليه كل يوم. وإذا كان التوتر ناجماً عن الخوف أو الخطر فسيتم إنتاج الهرمونات المجهزة للقتال. المؤشرات الموضحة هي فقط أعراض جسدية مثل ارتفاع ضغط الدم وسرعة ضربات القلب. في بعض الأحيان نعاني من التوتر دون قصد ولا يمكن تجنبه ، فالضغط المتراكم في الجسم والعقل يمكن أن يسبب أمراض القلب

أصبحت أمراض القلب والأوعية الدموية (السكتة الدماغية) أكثر شيوعًا ومن المهم أن نعرف شيئًا عن الأعراض الأولية لهذا المرض. السكتة الدماغية هي مرض يصيب الأوعية الدموية التي تزود الدماغ بالدم. يتكون دماغنا من أربعة أجزاء رئيسية: نصف الكرة المخية الأيمن ، ونصف الكرة المخية الأيسر، والمخيخ ، وجذع الدماغ. كل جزء من الدماغ مسؤول عن وظائف مختلفة.