Die koronare Herzkrankheit ist nicht nur eine häufige Krankheit, sondern beeinträchtigt auch die Lebensqualität und kann lebensgefährlich sein. Diese Krankheit entsteht durch eine chronische Entzündung der Blutgefäße, was zur Ansammlung von Fettplaque, Narbengewebe und Kalk führt, die den Innenraum der Blutgefäße verengen und zu einer Minderdurchblutung des Herzmuskels führen können. Tritt dies plötzlich auf, kann es zu Herzversagen, niedrigem Blutdruck und Herzrhythmusstörungen kommen. Chronisch kann es zu einer Herzinsuffizienz führen, wenn nicht rechtzeitig und korrekt behandelt wird. Deshalb ist es wichtig, die koronare Herzkrankheit richtig zu verstehen.
Was ist koronare Herzkrankheit?
Die koronare Herzkrankheit entsteht durch chronische Entzündungen und Degeneration der Blutgefäße. Dabei verwandelt sich die innere Gefäßwand in Plaques aus Fett, Narbengewebe (Atherosclerotic Plaque) , was die Innenwand der Blutgefäße verdickt und zu einer Minderdurchblutung des Herzmuskels führen kann.
Wie äußern sich die Symptome einer Herzmuskelischämie?
Symptome der Herzmuskelischämie werden in 2 Symptomgruppen unterteilt, nämlich:
- Langsame und chronische Ischämie (Chronisches Koronarsyndrom / Stabile Angina) entsteht durch die langsame Verengung der Blutgefäße, wodurch der Herzmuskel weniger durchblutet wird. Kapillaren dehnen sich aus, um den Widerstand in den Blutgefäßen zu verringern. Zusätzlich werden Blutgefäße von anderen Bereichen hinzugezogen. Wenn sich der Körper anpasst, kann der Patient keine oder nur wenige Symptome einer Ischämie haben. Bei erhöhter Anstrengung oder Krankheit wird mehr Blut benötigt, als die verengten Gefäße leisten können, was zu Symptomen wie Brustschmerzen bei körperlicher Anstrengung führt.
- Akute Ischämie (Akutes Koronarsyndrom / Herzinfarkt) tritt durch den Riss von Fettplaque in der Gefäßwand auf, gefolgt von einem Blutgerinnsel, was den Querschnitt des Gefäßes schnell stark verringert. Dies führt zu einer plötzlichen Blutverknappung im Herzmuskel, und der Patient hat schwerwiegende Symptome wie Brustschmerzen, niedriger Blutdruck, Lungenödem und Herzrhythmusstörungen durch die schnelle Beeinträchtigung der Herzmuskelfunktion

Das Bild zeigt den Vergleich zwischen langsamer Ischämie (stabile Angina) undplötzlicher Ischämie (akutes Koronarsyndrom) (rechts)
Wie wird eine Herzmuskelischämie diagnostiziert?
Die Diagnose und Behandlung der akuten Herzmuskelischämie ist ziemlich klar und nicht kompliziert. Sie umfasst ein Elektrokardiogramm, Blutuntersuchungen, Herzkatheter mit Kontrastmittel, und CT-Angiographie. Da es sich um einen Notfall handelt, ist es notwendig, die Symptomatik und Befunde des Patienten bei der Diagnose einer chronischen Ischämie zu berücksichtigen. Brustbeschwerden oder Müdigkeit können auch von Ursachen anderer Organe als vom Herzen herrühren, wie etwa dem Herzbeutel, der Aorta oder anderen Organen wie der Lunge oder dem Magen. Gleichzeitig müssen nicht alle festgestellten mittleren oder grenzwertigen koronaren Anomalien zwangsläufig Symptome verursachen und erfordern keine Gefäßerweiterung.
Was ist eine nichtinvasive koronare Gefäßuntersuchung?
Die nichtinvasive koronare Gefäßuntersuchung (Non Invasive) gewinnt an Beliebtheit. Dazu gehören Stress-Echokardiographie, Stress-Cardiac-Magnetic-Resonance-Imaging (Stress-MRI) und Coronary Computed Tomographic Angiography (CCTA). Diese Methoden können Patienten mit normalen oder leicht abnormalen Befunden identifizieren, ohne dass eine invasive Untersuchung wie ein Herzkatheter mit Kontrastmittel (Coronary Angiography: CAG) notwendig ist, der invasiver ist und mehr Komplikationen birgt. In Fällen, in denen die Ergebnisse klar abnormal sind, wird häufig ein Herzkatheter durchgeführt, um die koronare Herzkrankheit zu diagnostizieren.

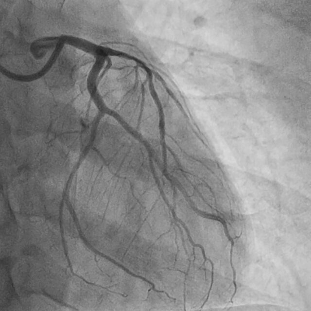
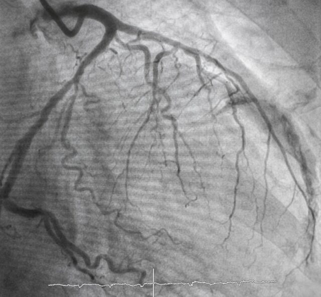
Bild einer Herzkatheteruntersuchung (Coronary Angiography : CAG)

Bild einer Herzkatheteruntersuchung (Coronary Angiography : CAG)

Computertomographie (Coronary Computed Tomographic Angiography : CCTA)

Bild von Stress-Echokardiographie (links) und Magnetresonanztomographie des Herzens (cardiac magnetic resonance imaging : MRI) (rechts)
Wenn die Herzkatheteruntersuchung klare Anomalien zeigt (, wie eine Verengung der Blutgefäße über 75%) und diese mit vorherigen nichtinvasiven Tests übereinstimmen, gibt es einen klaren Hinweis auf eine Koronararteriendilatation. Allerdings gibt es oft Fälle, in denen die Ergebnisse der Herzkatheteruntersuchung unklar sind. In solchen Fällen kann eine zusätzliche Untersuchung durch Einführen eines Geräts in die Koronararterien detailliertere Informationen liefern, die die Effizienz der Behandlung erhöhen. Zu diesen Untersuchungen gehört die intravaskuläre Bildgebung (Intravascular Imaging) durch Ultraschall (Intravascular Ultrasound : IVUS) oder infrarotes Licht Near Infrared (Optical Coherence Tomography : OCT) und die Druck/-Durchflussuntersuchung über und unter der Stenose (Functional Assessment) wie die Messung des funktionellen Flussreservats (FFR) oder Instantaneous wave-Free Ratio (iFR).
Was ist die intravaskuläre Bildgebung?
Obwohl die Herzkatheteruntersuchung der Goldstandard zur Diagnose der koronaren Herzkrankheit ist, hat sie Grenzen, wie die Beurteilung von Ursprungstellen der Blutgefäße, kurvigen oder überlappenden Blutgefäßen, selbst nach Aufnahmen aus verschiedenen Winkeln. Die Kontrastherzkatheterisierung zeigt nur Schatten innerhalb der Gefäße und kann die Pathologie der Gefäßwand nicht direkt darstellen. Die intravaskuläre Bildgebung (Intravascular imaging/IVUS/OCT) umfasst das Einführen von Kameras, die das Gefäß über 360 Grad und dessen gesamte Länge abbilden, um detaillierte Informationen über die engste Stellenbereich (Minimal Lumen Area) und die Pathologie zu liefern, wobei in manchen Fällen keine Dilatation erforderlich ist.

Bild von Intravascular Ultrasound : IVUS (links) und Optical Coherence Tomography : OCT (rechts)
Wie helfen Blutdruck oder -fluss bei der Entscheidung zur Gefäßerweiterung?
Neben dem Grad der Verengung ist bei der Bewertung einer Herzmuskelischämie der Ort und die Bedeutung der stenotischen Stelle entscheidend für die Behandlungswahl. Stark verengte Stellen in kleinen Ästen oder Endarterien stellen oft weniger ein Problem dar als mäßige Stenosen im Hauptgefäß, das größere Regionen des Herzmuskels versorgt oder mehrere Verengungen im gleichen Gefäß. Die Blutdruck- oder Durchflussmessung (Functional Assessment / Flow Study) durch Messung des Durchflusses an verschiedenen stenotischen Stellen, stärkt die Entscheidung für eine sinnvolle Erweiterung bei angemessenem Nutzen-Risiko-Verhältnis und verhindert unnötige Eingriffe.

Bild Fractional Flow Reserve (FFR) und instantaneous wave Free Ratio (iFR)
Koronare Herzkrankheit scheint einfach zu diagnostizieren, sei es durch CT-Scan oder Herzkatheter. Aber die Behandlung der Gefäßerweiterung erfordert eine individuelle Betrachtung aller Faktoren, ähnlich dem Maßschneidern von Kleidung (Tailored Approach). Mit fortschrittlichen Untersuchungen und international anerkannten wissenschaftlichen Standards werden Entscheidungen zur Dilatation, Geräteeinsatz und Stentvermeidung präziser.
Warum das Bangkok Heart Hospital für die Behandlung der koronaren Herzkrankheit wählen?
- Erstes privates Herzzentrum in Thailand
- Team erfahrener Herzspezialisten
- Moderne Technologie, Ausstattung und Operationsräume
- Individuelle Diagnose- und Behandlungsplanung durch Herzspezialisten
- Anerkannte Behandlungsstandards und -ergebnisse auf internationalem Niveau
Krankenhaus spezialisiert auf koronare Herzkrankheiten
Das Bangkok Heart Hospital verfügt über ein spezialisiertes Herzteam mit Expertise in allen Aspekten der koronaren Herzkrankheit. Mit der Erfahrung der Ärzte und moderner Technologie kümmern wir uns um alle Herzprobleme mit Hingabe, um die Lebensqualität wiederherzustellen.
Tailored Heart Treatment = Individuelle Fürsorge
Nicht für jeden gleich, sondern angepasst an Ihr „Herz“
Ärzte spezialisiert auf koronare Herzkrankheiten
Dr. Vira Luvira, Kardiologe spezialisiert auf koronare Herzkrankheiten durch Kathetereingriffe, Bangkok Heart Hospital
Klicken Sie hier, um einen Termin zu vereinbaren.






