The sooner a skin cancer is identified and treated, the better your chance of avoiding surgery or, in the case of a serious melanoma or other skin cancer, potential disfigurement or even death.
Skin cancers seldom hurt and are much more frequently seen than felt. It’s therefore important to get to know your skin and what is normal for you, so that you notice any changes.
It is important to regularly check your skin for new spots and changes to existing freckles or moles.

- Check your skin regularly, monthly is preferable, but at least every season
- Undress completely, make sure you have good light, use a mirror and/or get someone to help you to check hard to see areas of the body
- Make sure you check your entire body for example soles of the feet, between fingers and toes and under nails
SKIN CANCER TYPES
The top layer of our skin is made up of 3 differant types of cells, skin cancer types are named after these cells:

WHAT TO LOOK FOR :
Malignant Melanoma
- Melanoma is the most deadly form of skin cancer.
- If left untreated it can spread to other parts of the body to form new cancers.
- Melanoma appears as a new spot or an existing spot or mole that changes in colour, size or shape.
- Can appear anywhere on the body, even where skin is not normally exposed to the sun.
Remember the ABCDE of Melanoma :
The ‘ABCDE OF MELANOMA’ is a common screening tool used to compare the characteristics of normal moles versus melanomas. These photographs show examples of melanomas and should help you to recognise what is not normal. However, not all melanomas look like these and some may be very small so it is important to see your doctor if you notice any changes or unusual marks that have lasted more than a few weeks. It is also important to check your skin regularly (the experts suggest once per month), especially if you are at higher risk of developing skin cancer.

A = ASYMMETRY : when one half of the mole does not match the other half
B = BORDER : when the borders of the mole are irregular, ragged or blurred
C = COLOUR : when the colour of the mole changes or varies throughout /no uniform pigmentation
D = DIAMETER : when the diameter is greater than 6mm (but could be smaller)
E = EVOLVING : changes in the mole over variable time – weeks, months or years

- Nodular Melanoma looks different from common melanomas
- They grow quickly and become rapidly invasive (within months!)
- They are raised and even in colour – usually black, but occasionally are blue, grey, white, brown, tan, red or pink/ skin tone.
- They are firm to touch and dome-shaped
- After a while they begin to bleed and crust
Consult your doctor immediately if you develop any of the following signs:

Basal Cell Carcinoma

- The most common type of skin cancer that typically occurs on sun exposed areas such as the face, neck and ears, but can appear anywhere on the body
- Slow growing and rarely spread anywhere else on the body
- Can appear in different sizes and shapes
- Look out for: An Open, non-healing sore (can ooze, bleed, crust, heal and reappear)
A pinkish growth (often with elevated border).
Persistent red patch / irritated area of skin.
A shiny nodule, often pearly or translucent and can be pink, red or white or tan, brown, black on darker skin.
A scar-like, often waxy patch with underfined borders-could indicated an invasive BCC.
Squamous Cell Carcinoma

- Typically present on the face, ears, lips, mouth and hands and grows at variable rates
- If left untreated will increase in size and can spread to local lymph nodes and
- In extreme cases can be life threatening
- Look out for: A persistent scaly patch that can crust and bleed (often red with uneven borders)
An elevated growth with central depression (can sometimes bleed and grow rapidly in size)
An open, non-healing sore that crusts and bleeds
A wart-like growth than can sometimes bleed and won’t heal / respond to treatment
Pre-cancerous skin lesions
The earlier skin cancer is identified, the easier is to treat, it is also therefore important to check you skin for pre-cancerous skin lesions which are often a warning sign that you are prone to skin cancer.
There are 2 types of pre-cancerous skin lesions: Actinic (or Solar) Keratosis and Intra-Epidermal Carcinoma, often referred to as Bowen’s Disease. See page 4 for images and tips on what to look out for.

SKIN CANCER FACT SHEET – How to check your skin and what to look out for. Copyright: SKCIN-The Karen Clifford Skin Cancer Charity.www.skcin.org
Actinic (or Solar) Keratosis

- Pre-cancerous skin lesions that are slow growing with the potential to develop into cancer
- Commonly found on sun exposed areas like the head, neck, back of hands & forearms
- Usually appear as small brown, pink or whitish, scaly, red single or multiple rough spots smaller than 1 cm in diameter (sometimes they are felt, rather than seen)
- They can feel rough and cause soreness, irritation, discomfort or pain and/or pose a cosmetic nuisance
- Occasionally they itch or produce a pricking or tender sensation.
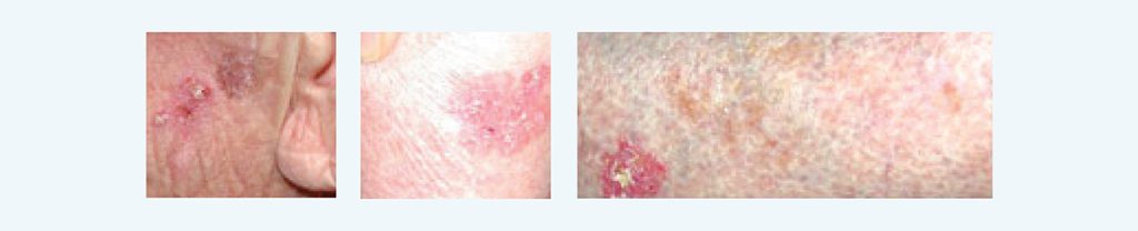
Intra-Epidermal Carcinoma (Bowen’s Disease)

- Pre-cancerous skin lesions that are slow growing
- Most commonly found on the head, neck and lower limbs
- Look for a sharply demarcated, scaly, red, pink, salmon coloured patch or plaque
- The border may be irregular
- Surface may be flat, scaly, crusted, eroded, ulcerated, velvety or warty
- Due to asymptomatic nature lesions may become very large
- Bowen’s disease may indicate the formation of an invasive squamous cell carcinoma
Remember, prevention is better than cure!
- All skin types can be damaged by over- exposure to solar UV radiation
- Typically those with fairer skin that burns more easily are at greater risk
- Always use the 5 S’s of sun safety to ensure you are protected (refer to your ‘Sun Safety’ fact sheet for advice)
- Check your skin regularly for changes and
IF IN DOUBT – GET IT CHECKED OUT!

SKIN CANCER FACT SHEET – How to check your skin and what to look out for. Copyright: SKCIN-The Karen Clifford Skin Cancer Charity.www.skcin.org









