ถุงน้ำที่ปลายศอกอักเสบ
ในร่างกายมนุษย์จะมีอวัยวะที่เรียกว่าถุงน้ำ (Bursa) ทำหน้าที่ลดแรงเสียดสีระหว่างกระดูกกับเยื่ออ่อนเช่น ผิวหนัง ภายในถุงน้ำจะมีน้ำหล่อลื่นปริมาณเล็กน้อยที่จะช่วยให้เยื่ออ่อนเคลื่อนไหวได้ค่อนข้างอิสระเหนือข้อต่อตุ่มกระดูกข้างใต้ ในร่างกายมีถุงน้ำอยู่หลายบริเวณโดยเฉพาะรอบข้อต่อขนาดใหญ่ เช่น ข้อไหล่ ข้อศอก ข้อเข่า ข้อเท้า ปกติจะแบนราบแต่ถ้ามีการระคายเคืองอาจจะทำให้เกิดถุงน้ำอักเสบในระดับเล็กน้อยเป็นๆ หายๆ มีการสร้างน้ำในถุงมากขึ้นทำให้คลำได้เป็นถุงที่นิ่มหยุ่นใต้ผิวหนัง เมื่อการอักเสบสะสมมากขึ้นถึงระดับหนึ่งหรือถูกกระตุ้น เช่นการกระทบกระแทกรุนแรงจะเกิดภาวะอักเสบเฉียบพลันแทรกซ้อนและทำให้คนไข้มีอาการ ปวด บวม แดง ร้อน เวลาถูกสัมผัสหรือขยับข้อจะมีอาการเจ็บมากขึ้นได้

รูปภาพ : แสดงกายวิภาคของข้อศอก ( แหล่งที่มาของภาพ : https://www.floridaortho.com )
ถุงน้ำที่ปลายศอกอักเสบเป็นภาวะที่พบได้บ่อย
สาเหตุของถุงน้ำที่ปลายศอกอักเสบ
- การถูกกระแทกรุนแรงบางครั้งอาจทำให้เกิดถุงน้ำอักเสบเฉียบพลันโดยที่ไม่เคยมีอาการมาก่อนได้
- การกดและเสียดสีซ้ำเช่น วางศอกบนโต๊ะพื้นผิวแข็งเป็นเวลานานๆ ซึ่งปกติใช้เวลาหลายเดือนในการเกิดถุงน้ำอักเสบ
- การติดเชื้อ บางครั้งผิวหนังบริเวณศอกเกิดแผล เช่น แมลงสัตว์กัดต่อย แผลถลอกหรือมีแผลเจาะจากวัตถุแข็ง เชื้อแบคทีเรียอาจเข้าไปในถุงน้ำและเกิดการอักเสบติดเชื้อได้ ถ้ารักษาไม่ทันท่วงที น้ำในถุงจะกลายเป็นหนอง
- โรคข้อทางอายุรกรรมบางโรค เช่น รูมาตอยด์หรือเก๊าท์
อาการ
- มีอาการปวด ซึ่งมักปวดมากขึ้นเมื่อมีแรงกดบนศอกหรืองอศอก
- ผิวหนังแดง และ อุ่น/ร้อน เมื่อสัมผัส และอาการจะมากขึ้นถ้าเป็นการติดเชื้อ
การตรวจเพิ่มเติมของแพทย์
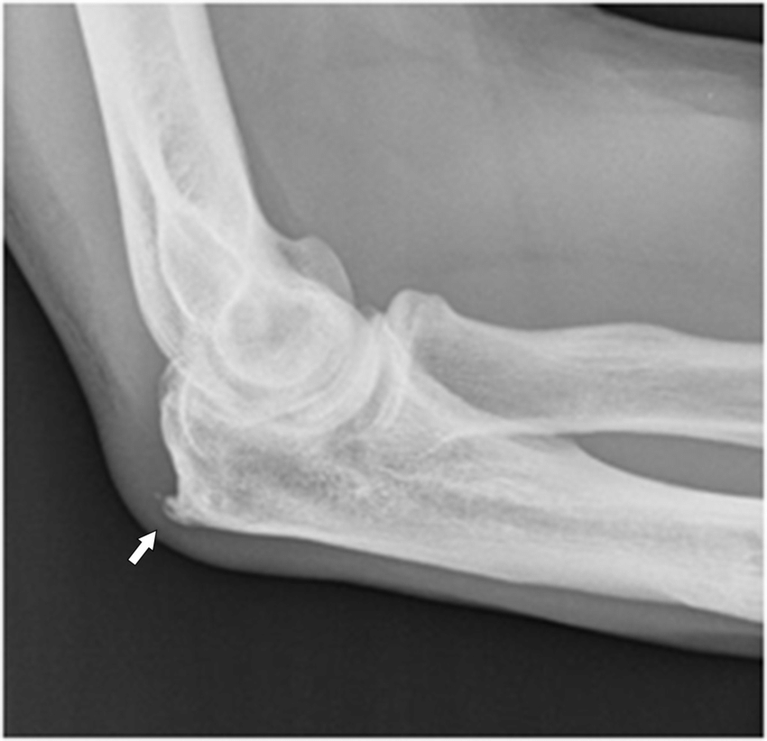
1. ตรวจเอกซเรย์ เพื่อหาดูสิ่งแปลกปลอมหรือกระดูกงอก ในคนไข้บางคนที่มีถุงน้ำอักเสบบ่อยๆอาจพบกระดูกงอกที่กระดูกปลายศอก

รูปภาพ : กระดูกงอกที่กระดูกปลายศอก ( แหล่งที่มาของภาพ : https://www.researchgate.net/figure/Plain-films-showing-spur-formation-arrow-at-the-olecranon-References-Department-of_fig20_280001741 )
2. ตรวจโดยการดูดน้ำในถุงน้ำที่ปลายศอกออกมา เพื่อนำมาวินิจฉัยว่าเป็นเก๊าท์หรือมีการติดเชื้อหรือไม่

รูปภาพ : การดูดน้ำในถุงน้ำที่ปลายศอกมาวินิจฉัย
การรักษา
- การรักษาด้วยการไม่ผ่าตัด ถ้าแพทย์สงสัยว่าถุงน้ำที่ศอกของท่านอักเสบจากการติดเชื้อ แพทย์จะแนะนำให้ใช้เข็มดูดน้ำออกมาตรวจภายใต้ฤทธิ์ยาชา นอกจากได้ตัวอย่างน้ำไปตรวจหาชนิดของเชื้อและชนิดของยาที่ฆ่าเชื้อได้/ยาที่เชื้อดื้อแล้วยังบรรเทาอาการปวดจากความดันสูงภายในถุงน้ำได้บางส่วนอีกด้วย
- การรักษาด้วยการผ่าตัด :
2.1 : แบ่งเป็นการผ่าตัดถุงน้ำที่อักเสบติดเชื้อ และถุงน้ำที่อักเสบไม่ติดเชื้อ
2.2 : การพักฟื้น แพทย์อาจจะใส่เฝือกอ่อนหรือให้ท่านใช้ที่คล้องแขนเพื่อปกป้องแผล โดยทั่วไปการประคองแขนให้นิ่ง จะใช้ระยะเวลาไม่นาน และจะหยุดใช้เมื่อแผลสมานดีและตัดไหมได้เมื่อครบ 12-16 วัน แพทย์จะแนะนำให้บริหารเพื่อป้องกันศอกติดเมื่อถึงระยะเวลาที่เหมาะสมเพื่อป้องกันข้อศอกติดยึด ปกติแพทย์จะให้กลับไปใช้งานศอกปกติเมื่อผ่านไป 3-4 สัปดาห์

รูปภาพ : แสดงอาการถุงน้ำที่ปลายศอกอักเสบ (ภาพซ้าย เริ่มมีถุงน้ำที่ปลายศอก และอักเสบเล็กน้อย / ภาพขวา อาการถุงน้ำที่ปลายศอกเริมมีการอักเสบมากขึ้น) ( แหล่งที่มาของภาพ : ภาพถ่ายจากคนไข้จริง ได้ขออนุญาติคนไข้แล้ว ) ขอขอบคุณข้อมูลจาก : https://orthoinfo.aaos.org/en/diseases–conditions/elbow-olecranon-bursitis/
ข้อมูลติดต่อ
โทร. 044-015-999 หรือ โทร. 1719
ศูนย์โรคกระดูกและข้อ เปิดให้บริการ
- วันจันทร์–วันอาทิตย์ เวลา 08.00-20.00 น.









