
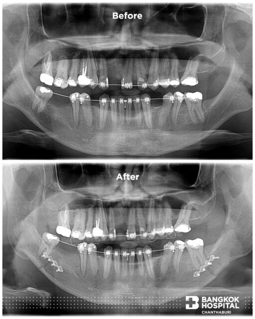
คางยื่นไม่ใช่ปัญหาเล็ก แต่เรามีทางแก้ไข!

3 ระดับความรุนแรงของข้อเท้าแพง

การเตรียมตัวทดสอบภูมิแพ้ทางผิวหนัง (Skin Test)

โรคเครียดหลังเหตุการณ์สะเทือนใจ (PTSD)

รีวิวศัลยกรรมตาสองชั้นครบ 1 เดือน

ซึมเศร้าหลังคลอด

โรคซึมเศร้าในผู้สูงอายุ

โรคซึมเศร้ารักษาหายไหม?

ทำความรู้จักกับโรคไบโพลาร์ (Bipolar Disorder)

สุขภาพจิตและจิตเวช

7 โรคจิตเวชที่พบบ่อย

ยิ้มอย่างมั่นใจ ให้เราดูแลสุขภาพฟันและช่องปาก