มะเร็งลำไส้ใหญ่ เป็นโรคมะเร็งที่สามารถป้องกันและรักษาได้หากตรวจพบแต่เนิ่น ๆ
ศ.(พิเศษ) ดร.นพ.อัฑฒ์ หิรัณยากาศ หมอรักษามะเร็งลำไส้ ประจำสถาบันโรคลำไส้ใหญ่และทวารหนัก โรงพยาบาลกรุงเทพภูเก็ต ให้ข้อมูลว่า ปัจจุบันการตรวจคัดกรองโรคมะเร็งลำไส้ใหญ่ มีหลายวิธี โดยวิธีที่ง่าย รวดเร็ว และประหยัดที่สุด คือ “การตรวจเลือดที่มองไม่เห็นในอุจจาระ” หรือที่เรียกว่า “Fecal Occult Blood Test” ซึ่งสามารถทำได้โดย การเก็บตัวอย่างของอุจจาระไปตรวจทางห้องปฏิบัติการ หากเป็นผลบวก แสดงว่าอาจมีเลือดปนอยู่ในอุจจาระ ซึ่งควรเข้ารับคำแนะนำจากแพทย์ผู้เชี่ยวชาญต่อไป
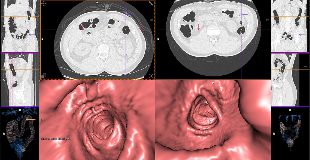
การตรวจคัดกรองมะเร็งลำไส้ใหญ่สามารถทำได้ร่วมกับเทคนิคการถ่ายภาพทางรังสีวิทยา เช่น การสวนแป้ง และการถ่ายภาพลำไส้ใหญ่ด้วยเครื่องเอกซเรย์คอมพิวเตอร์ (Visual Colonoscopy) อย่างไรก็ตามวิธีการตรวจคัดกรองที่เป็นที่ยอมรับที่สุดในปัจจุบัน คือ การส่องกล้องลำไส้ใหญ่ (Colonoscopy) เนื่องจากการตรวจด้วยวิธีนี้นอกจากจะให้ข้อมูลที่มีความแม่นยำที่สุดแล้ว ยังสามารถทำการรักษาในกรณีที่ตรวจพบความผิดปกติในลำไส้ใหญ่ได้อีกด้วย
กลุ่มประชากรที่จัดอยู่ในกลุ่มเสี่ยงและควรเข้ารับการตรวจคัดกรองโรคมะเร็งลำไส้ใหญ่ คือ ประชากรที่มีอายุมากกว่า หรือ เท่ากับ 50 ปี มีประวัติคนในครอบครัวเคยเป็นมะเร็งลำไส้ใหญ่ ตลอดจนกลุ่มประชากรที่มีโรคลำไส้ใหญ่อักเสบชนิดที่สามารถถ่ายทอดทางกรรมพันธุ์ได้ ทั้งนี้ หากไม่มั่นใจว่าตนเองมีความเสี่ยงมากน้อยอย่างไร สามารถเข้าพบแพทย์ผู้เชี่ยวชาญเฉพาะด้านลำไส้ใหญ่และทวารหนัก เพื่อขอรับคำปรึกษา

มะเร็งลำไส้ใหญ่ เป็นโรคมะเร็งที่สามารถป้องกันและรักษาได้ โดยมะเร็งชนิดนี้ มักเกิดจากติ่งเนื้อขนาดเล็ก ที่เรียกว่า โพลิป (Polyp) มีขนาดประมาณปลายนิ้วก้อย ซึ่งหากปล่อยทิ้งไว้ ติ่งเนื้อดังกล่าวอาจเกิดการเปลี่ยนแปลงขึ้น จนกลายเป็นมะเร็งในที่สุด โดยทั่วไปจะใช้เวลาประมาณ 5-10 ปี เนื่องจากขนาดที่เล็กของติ่งเนื้อ จึงทำให้ผู้ป่วยมักไม่มีอาการผิดปกติ ดังนั้นการตรวจคัดกรองมะเร็งลำไส้ใหญ่ตั้งแต่ยังไม่มีอาการผิดปกติ จึงถือเป็นขั้นตอนที่สำคัญในการป้องกันโรคมะเร็งลำไส้ใหญ่ เพราะหากตรวจพบติ่งเนื้อชนิดนี้ และทำการรักษาโดยการผ่าตัดได้จนหมด ย่อมเท่ากับเป็นการป้องกันการเกิดโรคมะเร็งลำไส้ใหญ่ได้เช่นกัน
ข้อมูลโดย
ศ. (พิเศษ) ดร. นพ. อัฑฒ์ หิรัณยากาศ
ศัลยแพทย์ผู้เชี่ยวชาญด้านการผ่าตัดผ่านกล้องโรคลำไส้ใหญ่และทวารหนัก
สถาบันโรคลำไส้ใหญ่และทวารหนัก ชั้น 3 โรงพยาบาลกรุงเทพภูเก็ต
เปิดให้บริการทุกวัน 8.00 – 16.00 น.
ติดต่อสอบถาม
โทร. (076) 254425 ต่อ 8609
อีเมล [email protected]
www.phukethospital.com
www.colorectaldiseaseinstitute.com










