เทคโนโลยี
เครื่องเอกซเรย์ทันตกรรม 3 มิติ (Dental CT Scan) เป็นการเอกซเรย์ช่องปากและฟันแบบ 360 องศา
dental CT scan

- จำลองภาพฟันและขากรรไกรแบบ 3 มิติ
- ประเมินความหนาของกระดูกก่อนการผ่าตัด
- สามารถฝั่งรากฟันเทียมได้อย่างแม่นยำมากขึ้น
- วางแผนการรักษาด้านทันตกรรมได้แม่นยำยิ่งขึ้น


Endomicroscope จากการผสานเทคโนโลยีของกล้องผ่าตัด Surgical Operating Microscope กับการรักษาทางทันตกรรมหลากหลายรูปแบบ ช่วยให้มองเห็นฟันบางตำแหน่งที่ไม่สามารถมองเห็นได้ด้วยตาเปล่า และด้วยกำลังขยายที่เพิ่มขึ้นมากถึง 25 เท่า ทำให้เกิดความแม่นยำสูง
กล้อง Endomicroscope ช่วยให้การรักษาทางทันตกรรมเป็นเรื่องง่ายและมีประสิทธิภาพมากขึ้น
ช่วยหาตำแหน่งทางเข้าสู่คลองรากฟันได้อย่างแม่นยำ
ช่วยในการผ่าตัดฝังรากเทียมในบางตำแหน่ง
ลดขั้นตอนและระยะเวลาในการรักษา
เพิ่มความมั่นใจในการกรอเนื้อฟัน
เพิ่มโอกาส ในการรักษาทางทันตกรรม สำหรับผู้ป่วยบางรายที่มีความยุ่งยากและซับซ้อน
อีกหนึ่งนวัตกรรมเพื่อพัฒนาคุณภาพการบริการจาก ศูนย์ทันตกรรมความงามและรากเทียม
* การรักษาโดยใช้กล้อง Endomicroscope ขึ้นอยู่กับดุลพินิจของทันตแพทย์
อุปกรณ์ผ่านการฆ่าเชื้อด้วยระบบการนิ่งสเตอไรล์ปลอดเชื้อตามมาตรฐานสากล
ศูนย์ทันตกรรมความงามและรากเทียม คำนึงถึงความสะอาด ปลอดภัย ปลอดเชื้อ ซึ่งอุปกรณ์ที่ใช้ในการรักษาทางทันตกรรมทุกชิ้น ผ่านการฆ่าเชื้อด้วยระบบการนิ่งสเตอไรล์(Sterile) จากหน่วยงานที่ผ่านการรับรองคุณภาพตามมาตรฐานสากล ทำให้มั่นใจได้ว่าการรักษาแต่ละครั้งสะอาดและปลอดเชื้อแน่นอน
ฟันขาวอย่างมีประสิทธิภาพ สะอาด รวดเร็วกับ Zoom!™Tooth Whitening
เป็นกระบวนการฟอกสีฟันแบบหนึ่งที่ใช้เวลารวดเร็ว โดยใช้เจลร่วมกับแสงไฟLEDสีฟ้า เพื่อให้ฟันขาวอย่างมีประสิทธิภาพ



จากผลวิจัยทางทันตกรรม Zoom Whitening ได้รับการยอมรับว่าเป็นผลิตภัณฑ์ฟอกสีฟันอันดับหนึ่ง
น้ำยาฟอกสีฟัน Zoom ถูกพัฒนาโดย Discus Dental ผู้เป็นผู้นำอันดับหนึ่ง ด้านผลิตภัณฑ์ฟอกสีฟันกลับบ้าน (Take-home bleaching)
เจลฟอกสีฟันของ zoom ถูกพัฒนาขึ้นโดยองค์กรทางวิทยาศาสตร์ ที่ออกแบบให้เจล ออกฤทธิ์ได้อย่างอ่อนโยน ด้วยการที่เจลฟอกสีฟันจะค่อยๆแทรกซึมลงสู่ชั้นพื้นผิวฟัน เพื่อขจัดคราบ ชา กาแฟ และสีฟันที่ไม่สม่ำเสมอ
จากผลการศึกษาและวิจัยระบุว่าการฟอกฟันขาวภายใต้การดูแลของแพทย์ผู้เชี่ยวชาญ เป็นการฟอกสีฟันที่ปลอดภัยที่สุดในขณะนี้
Zoom Whitening มีวิธีการอย่างไร?
ในเจลฟอกสีฟันของ zoom จะมีสาร Hydrogen Peroxide เป็นตัวออกฤทธิ์ โดยที่แสงของ zoomจะเป็นตัวกระตุ้นให้สารเ Hydrogen Peroxide แทรกซึมลงสู่พื้นผิวบนของฟัน เมื่อ Hydrogen Peroxide แตกตัว oxygen จะเข้าสู่ชั้นผิวโดยจะไม่ทำลายโครงสร้างของฟันธรรมชาติ
- สามารถทำการรักษาได้อย่างรวดเร็วเพียง 45 -60 นาที
- สามารถทำได้ง่ายและมีประสิทธิภาพมาก
- สะดวกสบายด้วยแสงที่มีคุณภาพจาก KNO 3 TECH
- สามารถเปลี่ยนสีฟันได้ถึง 8 เฉดสีโดยปราศจากการเสียวฟัน
จากการศึกษาพบว่าแสงที่ใช้ในการฟอกสีฟันของ zoomช่วยเพิ่มประสิทธิภาพให้แก่เจลฟอกสีฟันถึง 26% และสามารถเปลี่ยนสีฟันได้ถึง 8 เฉดสี นอกจากนี้ยังช่วยลดการเสียวฟันได้ดีกว่าเครื่องฟอกสีชนิดอื่น 13 %
เครื่องมือบันทึกข้อมูลภายในช่องปาก แบบ 3 มิติ (Oral Scanner)


เป็นการใช้กล้องถ่ายภาพในช่องปาก ในการสร้างภาพแบบจำลอง 3 มิติ เพื่อใช้ทำงานDigital dentistryเช่น ครอบฟัน(Crown) สะพานฟัน(Bridge) ใส่ฟันบนรากเทียม จัดฟัน เป็นต้น
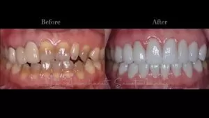
ยิ้มสวยด้วยวีเนียร์ปัญหาฟันมีสีคล้ำ ฟันมีรอยบิ่น ซี่ฟันมีลักษณะสั้นกว่าฟันซี่อื่น หรือมีฟันห่างและต้องการจะปิดช่องว่างนั้น ปัจจุบันนี้มีวิธีที่ง่ายและสามารถแก้ไขปัญหาต่างๆ เหล่านี้ได้แล้ว


“วีเนียร์” (Veneer or Porcelain Dental Veneers) เป็นแผ่นกระเบื้องที่ติดบนผิวฟันเพื่อแก้ไขปัญหาความไม่สวยงามของฟันได้หลากหลาย ได้แก่ สีฟันที่ไม่สวยงาม ฟันที่บิ่นแตกบางส่วนหรือฟันที่ผิดรูปร่าง การปิดช่องว่างระหว่างฟัน (ฟันห่าง) วีเนียร์ จึงเป็นอีกทางเลือกหนึ่งที่เหมาะสำหรับผู้ที่ต้องการมีฟันที่สวยงามและใกล้เคียงกับฟันธรรมชาติทั้งสี ความใส และผิวฟัน
การทำวีเนียร์ ขึ้นอยู่กับโครงสร้างของเนื้อฟันของแตล่ะท่าน หากมีสีฟันที่เข้มมากๆ อาจเห็นสีฟันที่เข้มผ่านแผ่นกระเบื้องได้ เนื่องจากแผ่นกระเบื้องมีความบางและใส สุขภาพของเหงือกก็ควรต้องคำนึงถึงด้วย นอกจากนี้หากมีปัญหาเรื่องการสบฟันร่วมด้วยจะแนะนำให้รักษาด้วยการทำครอบฟันหรือจัดฟันแทนการทำวีเนียร์ เนื่องจากจะได้ผลการรักษาที่ดีกว่า
ขั้นตอนการทำวีเนียร์ จะเริ่มจากการกรอผิวฟันเล็กน้อยประมาณ 0.5-2.0 ม.ม. เพื่อเตรียมพื้นที่สำหรับนำวีเนียร์มาติดกับเนื้อฟัน หลังจากนั้นจะพิมพ์แบบฟันเพื่อนำไปทำวีเนียร์แต่ละชิ้นให้พอดีและสวยงาม เมื่อวีเนียร์แต่ละชิ้นเสร็จแล้วจะทดลองติดลงบนตัวฟันซึ่งในขั้นตอนนี้จะสามารถปรับแต่ง ได้อีกตามความพอใจของคุณ วีเนียร์ที่ทดลองเรียบร้อยแล้วจะนำไปติดกับเนื้อฟันด้วยวัสดุยืดติดถาวรที่เรียกว่า “composit resin cement” และฉายแสงพิเศษเพื่อให้วัสดุแข็งตัวเป็นขั้นตอนสุดท้ายทั้งนี้ การติดวีเนียร์ให้ได้ผลลัพธ์ ที่ดีขึ้นอยู่กับการทำความสะอาดฟัน และเหงือกที่มีสุขภาพดี
เมื่อติดวีเนียร์แล้ว คุณจะไม่รู้สึกว่าวีเนียร์เป็นสิ่งแปลกปลอมในช่องปาก เพราะมีลักษณะใกล้เคียงกับฟันธรรมชาติมากและยังสามารถใช้งานได้ตามปกติ แต่มีข้อควรระวังในการใช้ฟันกัดสิ่งที่มีความแข็ง ซึ่งอาจจะทำให้วีเนียร์ร้าวหรือบิ่นได้ควรหลีกเลี่ยงการกัดอาหารที่ความแข็ง และมีชิ้นใหญ่ๆ เช่น ขนมปัง French Bread แอปเปิ้ลทั้งผล ควรหั่นเป็นชิ้นเล็กๆ ก่อนเคี้ยว นอกจากนี้ความเคยชินบางอย่าง เช่น การกัดเล็บ ดินสอ ลวดเสียบกระดาษ ควรละเว้นอย่างเคร่งครัด เพียงเท่านี้คุณก็จะมีฟันสวยด้วยวีเนียร์ไว้ใช้งานไปอีกนานๆ




