“มะเร็ง” ส่วนใหญ่รักษาให้หายขาดได้ยาก หรือไม่มีทางรักษาเลย ทั้งนี้ก็แล้วแต่มะเร็งของอวัยวะใด และแพร่กระจายไปจนถึงขั้นใดแล้ว
“มะเร็งตับ” ก็เป็นหนึ่งในมะเร็งที่เคยรับรู้กันมาว่าถ้าใครเป็นแล้วโอกาสรอดมีน้อยมาก ในสมัยก่อน ผู้ป่วยที่ได้รับการวินิจฉัยจากแพทย์ว่าเป็นมะเร็งตับ มักได้รับการคาดการณ์จากแพทย์ต่อโดยทันทีว่า จะอยู่ได้ไม่เกิน 4 เดือนบ้าง 6 เดือนบ้าง โดยที่ไม่มีการรักษาใดๆ ให้เลย หรือไม่ก็เป็นเพียงให้ยาทุเลาตามอาการทั่วไป แต่ในปัจจุบันเทคโนโลยีได้พัฒนาขึ้นมาก ทำให้ผู้ป่วยสามารถมีอายุยืนยาวขึ้น และลดความทรมานจากโรคได้
ในที่นี้จะขอกล่าวถึง มะเร็งตับปฐมภูมิ คือมะเร็งของเซลล์ตับเอง (Hepatocellular Carcinoma – HCC) โดยไม่รวม และไม่กล่าวถึงมะเร็งของท่อน้ำดีในตับ หรือมะเร็งที่แพร่กระจายจากอวัยวะอื่นมาที่ตับ
มะเร็งตับเกิดขึ้นจากหลายสาเหตุ ส่วนใหญ่แล้วไม่มีสาเหตุที่แน่ชัด แต่มีปัจจัยเสี่ยงมากมายที่เชื่อว่าเป็นสาเหตุที่เพิ่มโอกาสให้เกิดมะเร็งตับได้แก่ ภาวะตับแข็ง ผู้ที่เป็นตับอักเสบเรื้อรังจากไวรัสตับเสบชนิดบี, ซี หรือผู้ที่เป็นพาหะของไวรัส ดังกล่าว รวมทั้งสาร Aflatoxin ที่เกิดจากเชื้อราที่ขึ้นในถั่วบางชนิด
อาการของมะเร็งตับ
ระยะแรกๆ ของมะเร็งตับ มักไม่มีอาการใดที่ทำให้ ผู้ป่วยรู้ตัว จนกว่าก้อนมะเร็งจะโตขึ้นเรื่อยๆ จนผู้ป่วยเริ่มมีอาการแน่นอึดอัดท้องทั่วๆ ไป เหมือนอาหารไม่ย่อย จนวินิจฉัยได้ยาก บางครั้งอาการเหมือนเป็นโรคแผลในกระเพาะอาหาร
ผู้ป่วยบางรายอาจมีอาการปวดเฉพาะที่ บริเวณชายโครงขวา ซึ่งเป็นตำแหน่งของตับ ยังมีอาการทั่วไปอื่นๆ เมื่อก้อนโตมากขึ้นอีก เช่น จุกแน่นบริเวณลิ้นปี่ เบื่ออาหาร น้ำหนักลด ถ้าเป็นมากขึ้นอาจมีท้องบวมขึ้นเหมือนท้องมาน เนื่องจากมีน้ำแทรกในช่องท้อง
ในบางราย หากไม่ได้รับการวินิจฉัย หรือรักษาแต่แรก อาจมีผลแทรกซ้อนถึงขั้นก้อนมะเร็งแตก เกิดเลือดออกอย่างมากในช่องท้อง ซึ่งเป็นอันตรายถึงชีวิตได้
การรักษา
มะเร็งตับสามารถรักษาได้ด้วยการผ่าตัด แต่มีข้อแม้ว่าคือต้องเป็นก้อนเดียว ขนาดไม่ใหญ่จนเกินไป (โดยทั่วไปต้องไม่เกิน 5 ซม.) และอยู่ในตำแหน่งที่ไม่ลึกมาก หรือเป็นเฉพาะในกลีบซ้ายของตับ
แต่ในความเป็นจริง มะเร็งตับที่มีขนาดไม่เกิน 5 ซม. ก็มักจะไม่ทำให้เกิดอาการใดๆ ให้รู้ตัว ส่วนใหญ่ที่ขนาดเล็ก มักตรวจพบเจอโดยบังเอิญ หรือจากการตรวจอัลตร้าซาวด์ช่องท้อง ในการตรวจสุขภาพประจำปี
ผู้ป่วยมะเร็งตับในบ้านเรามักมาพบแพทย์เมื่ออยู่ในระยะที่ไม่สามารถที่จะผ่าตัดให้หายขาดได้ รวมไปถึงบางรายที่แม้ผ่านไปแล้ว ต่อมาพบมะเร็งเกิดขึ้นซ้ำอีก เนื่องมาจากมะเร็งได้กระจายไปในระดับเซลล์แล้วตั้งแต่ก่อนผ่าตัด เพียงแต่ยังไม่ถึงกับเป็นก้อนให้ตรวจพบได้ก่อนหน้านี้
ผู้ป่วยที่เป็นมะเร็งตับ แบบปฐมภูมิ (HCC) มากกว่า 90% มักจะมาพบแพทย์ เมื่อเลยเกณฑ์ที่จะได้รับการผ่าตัดได้แล้ว
นอกจากการผ่าตัดแล้ว ปัจจุบันมีการรักษาอีกทางหนึ่งซึ่งจะช่วยยืดอายุผู้ป่วยมะเร็งตับให้ยืนยาวต่อไปได้อีก โดยแพทย์เฉพาะทางอีกสาขาหนึ่ง ที่เรียกว่า รังสีแพทย์ร่วมรักษา (Interventional Radiologist – IR) ซึ่งเป็นรังสีแพทย์ที่ประยุกต์เครื่องมือที่ช่วยแสดงภาพทางการแพทย์ต่างๆ ได้แก่ อัลตร้าซาวด์ (Ultrasound), เอกซ์เรย์คอมพิวเตอร์ (Computed Tomography – CT) หรือเครื่องเอกซ์เรย์ภาพเคลื่อนไหวแบบเรียลไทม์ (Digital Subtraction Angiography – DSA) เพื่อช่วยในการนำพาเครื่องมือ หรืออุปกรณ์ขนาดจิ๋ว และสายสวนหลอดเลือดต่างๆ เข้าไปช่วยทำการรักษา หรือให้ยาไปที่ก้อนมะเร็งโดยตรง เพียงเจาะจากผนังหน้าท้อง หรือสวนเข้าทางหลอดเลือดเล็กๆ ภายใต้การฉีดยาชาเฉพาะที่เท่านั้น โดยที่ผู้ป่วยไม่ต้องรับการดมยาสลบเลย
การรักษามะเร็งตับ โดยแพทย์ IR จะมีหลายวิธี ได้แก่
- การใช้เข็มเจาะเข้าไปจี้ ที่ตัวมะเร็งโดยตรง
- การสวนหลอดเลือดแดง เพื่อให้ยาที่ก้อนมะเร็ง ร่วมกับบล๊อคเส้นเลือดที่ไปเลี้ยงมะเร็ง
การใช้เข็มจี้ (Ablative Treatment)
วิธีนี้จะใช้ได้กับก้อนมะเร็งที่เป็นก้อนเดี่ยว หรือไม่เกิน 3 ก้อน และขนาดไม่เกิน 5 ซม. แต่ไม่สามารถผ่าตัดได้ เนื่องจากตำแหน่งของก้อนที่ผ่าไม่ได้ หรือผู้ป่วยมีข้อจำกัดอื่นที่ไม่สามารถรับการผ่าตัด เช่น ภาวะตับแข็งมากเกินไป หรือมีโรคประจำตัวอื่นๆ
เข็มที่จี้จะมีขนาดใหญ่กว่าเข็มฉีดยาทั่วไป (ขนาด 14G หรือ 16G) โดยจะใช้เข็มเจาะผ่านผนังหน้าท้อง หรือระหว่างช่องซี่โครงบริเวณชายโครงขวา ที่เป็นตำแหน่งของตับ โดยแพทย์ IR อาจใช้เครื่อง Ultrasound หรือ CT เป็นตัวนำทาง เพื่อให้ปลายเข็มเข้าไปอยู่ในตำแหน่งที่เหมาะสมของก้อนมะเร็ง
หลังจากนั้น ก้นเข็มที่อยู่นอกลำตัว จะต่อกับเครื่อง ซึ่งมีสองแบบคือ (1) เครื่องเสียงความถี่สูง (Radiofrequency – RF) วิธีนี้จะเรียกว่า RF Ablation หรือ (2) คลื่นไมโครเวฟ วิธีนี้จะเรียกว่า Microwave Ablation
โดยทั้งสองวิธีนี้ มีหลักการเพื่อให้เกิดความร้อนเหนี่ยวนำจากปลายเข็ม กระจายออกไปรอบๆ เพื่อทำลายเนื้อมะเร็ง ทำให้ก้อนยุบลง จนอาจพิจารณาผ่าตัดได้ในบางราย หรืออย่างน้อย ก็ช่วยทำให้ลดการลุกลามของมะเร็งได้ และในบางราย (น้อยมาก) เฉพาะรายที่มาพบแพทย์เมื่อก้อนยังเล็กมากเพียง 1-3 ซม. อาจช่วยให้หายขาดได้
การสวนหลอดเลือดแดง
Transarterial Chemoembolization (TACE)
เป็นหัตถการที่ทำมากสุด เพราะใช้ได้กับมะเร็งตับทุกแบบ ที่ไม่สามารถผ่าตัดหรือใช้เข็มจี้ได้ หรีอบางรายสามารถใช้หัตถการนี้ แล้วทำให้ก้อนยุบลง แล้วตามด้วยการใช้เข็มจี้ร่วมกันในภายหลัง
TACE คือการนำยาเข้าไปรักษาที่ตัวก้อนเนื้องอกในตับโดยตรง วิธีนี้รังสีแพทย์ (IR) จะใช้สายสวนหลอดเลือดขนาดเล็กประมาณไส้ปากกา (2-3 มม.) สอดเข้าหลอดเลือดแดงจากบริเวณขาหนีบ และอาศัยกระบวนการภายใต้เครื่องเอกซเรย์ที่เห็นภาพเคลื่อนไหวจากจอได้ตลอดเวลา (DSA) เพื่อเคลื่อนสายสวนให้ขึ้นไปที่กลางลำตัว ต่อไปที่บริเวณตับและไปยังหลอดเลือด ที่ไปเลี้ยงตัวเนื้องอกโดยตรง แล้วจะฉีดยาเคมีบำบัด ผ่านสายสวนเข้าไปที่ก้อนเนื้องอก ขั้นตอนสุดท้ายจะฉีดฝอยโฟมขนาดจิ๋ว เพื่ออุดกั้นเส้นเลือดที่ไปเลี้ยงก้อนเนื้องอกให้ขาดเลือดและเซลล์เนื้องอกตาย
ระหว่างทำหัตถการ TACE นี้ ผู้ป่วยไม่ต้องถูกวางยาสลบ เพียงแค่ฉีดยาชาเล็กน้อยบริเวณขาหนีบ ก็จะไม่มีการเจ็บปวดใดๆ โดยแผลที่เจาะหลอดเลือดแดงบริเวณขาหนีบมีขนาดไม่ถึงครึ่งเซนติเมตร และใช้เวลาอยู่โรงพยาบาลประมาณ 2-3 วัน
หลังจากทำแล้ว ผู้ป่วยอาจมีอาการข้างเคียงบ้างเล็กน้อยเช่น ไข้ จุกแน่นท้อง คลื่นไส้ เพียงไม่กี่วัน ก็จะดีขึ้น
การรักษาวิธีนี้ จะทำให้เนื้องอกได้รับยาอย่างเต็มที่ ยาสามารถออกฤทธิ์อยู่ได้นาน ทำให้เนื้องอกฝ่อเป็นบางส่วน เนื้องอกยุบตัว และขนาดเล็กลง ในขณะที่ผลข้างเคียงจากยาเคมีบำบัด ก็จะน้อยกว่ามาก เทียบกับการฉีดเข้าเส้นเลือดดำให้กระจายไปทั่วร่างกาย
อย่างไรก็ตาม เนื่องจากผู้ป่วยมะเร็งตับ มักจะรู้ตัว และมาพบแพทย์เมื่อเนื้องอกมีขนาดใหญ่มากแล้ว การทำ TACE ไม่สามารถจะทำให้หมดได้ในครั้งเดียว จำเป็นจะต้องทำเพิ่มเติมอีกภายใน 2-3 เดือน และถึงแม้จะครอบคลุมเนื้องอกได้หมดทั้งก้อนแล้ว ก็อาจจะมีระดับเซลล์ที่เล็ดรอดและขยายขนาดขึ้นได้อีก จึงจำเป็นต้องติดตาม และให้การรักษาเพิ่มเติมตลอด อย่างต่อเนื่อง
อีกประการหนึ่ง ดังที่กล่าวไว้แต่ต้นแล้วว่า แม้กระทั่งการผ่าตัดทั้งก้อน ก็ยังไม่สามารถรักษามะเร็งตับให้หายขาดได้ การรักษาด้วยวิธี TACE ก็เช่นเดียวกัน แต่เมื่อเทียบกับการที่ไม่ได้รับการรักษาใดเลยในสมัยก่อน ปัจจุบัน TACE จะช่วยให้ผู้ป่วยมีอายุเพิ่มขึ้นได้อีกหลายเดือน ไปจนถึง 1-3 ปี หรืออาจมากกว่านั้นในบางราย แต่อย่างน้อยที่สุด ผู้ป่วยจะเจ็บปวดและทรมานจากโรคน้อยลง และสามารถมีชีวิตอยู่อย่างสบายขึ้น และคุณภาพชีวิตดีขึ้น
ศูนย์มะเร็งตับ รพ.กรุงเทพเชียงราย มีแพทย์ IR ที่มีประสบการณ์การรักษามะเร็งตับ ทั้งวิธี Ablative Treatment และโดยเฉพาะด้วยวิธี TACE มากว่า 20 ปี สามารถให้คำปรึกษาแก่ท่านได้ทุกวัน จันทร์-ศุกร์
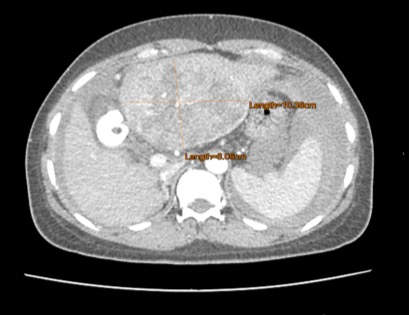
ภาพเอกซเรย์คอมพิวเตอร์ ของผู้ป่วยมะเร็งในตับกลีบซ้ายกลางลำตัวขนาดใหญ่ 10.4 ซม. มารพ. เพราะก้อนแตก เลือดออกในช่องท้องปริมาณมาก มีอาการเสียเลือดและความดันเลือดตก

หลังทำ TACE แบบเร่งด่วน เลือดหยุด ผู้ป่วยมีความดันคงที่ และกลับบ้านได้
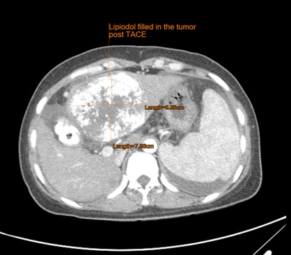
ภาพ CT หลังทำ 1 เดือน ก้อนมีขนาดเล็กลงไม่มาก แต่ยาที่ให้ร่วมกับสารที่อุดหลอดเลือดระดับปลาย (สีขาว ทั่วไปภายในก้อน) เข้าไปแทนที่ภายในก้อนมะเร็งเกือบทั่วทั้งก้อน









