ก่อนที่จะพูดถึงการฟอกสีฟัน เรามาทำความรู้จักกับสิ่งที่ทำให้ฟันเราไม่ขาวกันก่อน โดยปกติแล้วฟันแท้ตามธรรมชาติหลังขึ้นมาใหม่ๆ จะมีสีขาวอมเหลือง จะเหลืองมากหรือเหลืองน้อยขึ้นอยู่กับพันธุกรรมหรือเชื้อชาติของเรา แต่ในบางกรณีจะพบว่าฟันที่เพิ่งขึ้นมาใหม่นั้นกลับมีสีเทาหรือน้ำตาล สีที่เห็นนี้เกิดจากการสะสมเม็ดสีในขณะที่กำลังมีการสร้างเนื้อฟันช่วงที่เราเป็นเด็ก เม็ดสีเหล่านี้มักมาจากยาบางกลุ่มหรือแร่ธาตุที่เรารับประทานเข้าไป นอกเหนือจากสีที่มาจากภายในดังที่กล่าวไปแล้ว ฟันยังสามารถดูดซึมสีจากอาหารและเครื่องดื่มที่เรารับประทานเข้าไปได้ด้วย เนื่องจากผิวฟันชั้นนอกของเรา (Enamel) จริงๆ แล้วมีรูพรุนเล็กๆ อยู่ เวลาเรารับประทานอาหาร สีจากอาหารก็จะแทรกซึมเข้าไปฝังตัวอยู่ในรูพรุนเหล่านี้ ยิ่งนานวันปริมาณเม็ดสีจากอาหารที่เข้าไปสะสมตัวอยู่ก็จะเพิ่มปริมาณมากขึ้น จะเห็นได้ว่าฟันของผู้สูงอายุจะมีสีคล้ำกว่าฟันคนที่อายุน้อยๆเสมอ แล้วอาหารประเภทไหนล่ะที่ทำให้ฟันสีเข้มมากขึ้นได้ วิธีสังเกตง่ายๆ ก็คืออาหารและเครื่องดื่มที่มีสีจัดเช่น น้ำอัดลมชนิดต่างๆ โดยเฉพาะตระกูลโคล่าซึ่งมีสีเข้ม ชา กาแฟ ไวน์แดง เป็นต้น นอกจากอาหารและเครื่องดื่มแล้ว บุหรี่ ซิการ์ ก็สามารถทำให้ฟันสีเข้มขึ้นได้เช่นกัน จะเห็นได้ว่าฟันที่ไม่ขาวเกิดได้จากหลายสาเหตุ ดังนั้นวิธีการแก้ไขจึงแตกต่างกันไป


Credit ภาพ: http://www.zoomwhitening.com
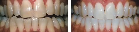
การฟอกสีฟัน (Tooth bleaching) หรือที่เรียกกันคุ้นปากว่าการฟอกฟันขาว (Tooth whitening) เป็นการทำให้ฟันกลับมาขาวเหมือนตอนที่เพิ่งขึ้นมาใหม่ หรือบางครั้งก็ขาวกว่าฟันโดยธรรมชาติได้ วิธีการฟอกสีฟันจะเริ่มจากการทำความสะอาดฟันด้วยการขัดฟัน (Polishing) เพื่อกำจัดคราบอาหารหยาบๆ ที่ติดอยู่บนผิวนอกสุดของตัวฟันรวมทั้งขจัดคราบจุลินทรีย์ที่คลุมผิวฟันออกไป เพื่อให้ผิวฟันสะอาดพร้อมสำหรับขั้นตอนการฟอกสีฟัน (Bleaching) น้ำยาที่ใช้ในการฟอกสีฟันจัดอยู่ในกลุ่ม Peroxide oxidizing agent ไม่ว่าจะเป็น Carbamide peroxide หรือ Hydrogen peroxide สารกลุ่มนี้มีคุณสมบัติสามารถแทรกตัวเข้าไปในผิวฟันเข้าไปทำให้เม็ดสีที่สะสมอยู่ในผิวฟันแตกสลายตัว เราสามารถแบ่งการฟอกสีฟันได้ 2 แบบตามวิธีการทำ ได้แก่

Credit ภาพ: http://www.zoomwhitening.com
- การฟอกสีฟันในคลินิก (In office tooth bleaching, Light accelerated tooth bleaching) การฟอกวิธีนี้ต้องทำโดยทันตแพทย์ภายในคลินิก โดยจะมีการใช้แสงสีฟ้าจากเครื่องฉายแสงมากระตุ้นการทำงานของน้ำยาฟอกสีฟัน เพื่อให้น้ำยาฟอกสีฟันทำงานได้เร็วขึ้น โดยทั่วไปจะใช้เวลาประมาณ 30-45 นาที วิธีการฟอกสีฟันวิธีนี้มักจะถูกเรียกชื่อแบบผิดๆ ว่าการฟอกสีฟันด้วยแสงเลเซอร์ ซึ่งจริงๆ แล้วแสงที่ใช้กระตุ้นน้ำยาฟอกสีฟันเป็นเพียงแสงสีฟ้าความเข้มสูงไม่ใช่แสงเลเซอร์แต่อย่างใด แสงเลเซอร์เคยถูกนำมาใช้ในอดีตนานมาแล้วแต่ผลลัพท์ไม่เป็นที่น่าพอใจนักจึงไม่เป็นที่นิยม การฟอกสีฟันชนิดที่ต้องทำในคลินิกนี้เหมาะกับผู้ที่ไม่ค่อยมีเวลาหรือไม่สะดวกทำเองที่บ้าน ขั้นตอนการทำก็คือ ภายหลังจากตรวจว่าฟันสามารถฟอกได้ และทำความสะอาดฟันแล้ว คุณหมอจะทำการกันบริเวณที่จะฟอกสีออกจากเหงือกและเนื้อเยื่อช่องปากส่วนอื่น ทาน้ำยาฟอกสีฟันที่ตัวฟัน จากนั้นก็ใช้แสงกระตุ้นน้ำยาจนครบเวลา 30-45 นาที กำจัดน้ำยาออก ก็จบขั้นตอน

Credit ภาพ: teethwhiteningprices.net
- การฟอกสีฟันเองที่บ้าน (Home bleaching) การฟอกแบบนี้จะใช้น้ำยาฟอกคล้ายกันแต่ความเข้มข้นต่ำกว่าแบบแรก โดยผู้ที่จะฟอกต้องมาพบคุณหมอก่อนในครั้งแรกเพื่อตรวจฟันว่าสามารถฟอกได้หรือไม่ แล้วจึงพิมพ์ปากเพื่อนำไปทำถาดฟอกสีฟัน (Bleaching tray) หลังจากได้รับถาดฟอกสีฟันพร้อมน้ำยาฟอกสีฟันมาแล้วก็สามารถเริ่มทำการฟอกเองได้เลย โดยการหยดน้ำยาฟอกสีฟันลงไปในถาดฟอกสีฟันแล้วสวมถาดฟอกไว้ที่ฟัน ระยะเวลาที่สวมนานแค่ไหนขึ้นอยู่กับชนิดและความเข้มข้นของน้ำยาฟอกสีฟัน มีตั้งแต่ 1 ชั่วโมง ถึง 8 ชั่วโมง ในการการฟอกสีฟันทุกประเภทมักจะทำให้เกิดอาการเสียวฟันไม่มากก็น้อย โดยการฟอกเองที่บ้านมีข้อดีคือหากเกิดอาการเสียวฟันขึ้นเราสามารถหยุดฟอก 1-2 วัน หรือจนหายเสียวแล้วกลับมาฟอกใหม่ได้ ทำเช่นนี้ไปเรื่อยๆ จนได้ความขาวที่เราพอใจก็หยุดฟอกได้เลย
การเตรียมตัวก่อนฟอกสีฟัน กรณีที่มีฟันผุหรือฟันสึกบริเวณตำแหน่งที่ต้องการฟอกสีฟัน จะต้องให้คุณหมออุดฟันเพื่อป้องกันเนื้อฟันด้านในให้เรียบร้อยก่อนจะเริ่มขั้นตอนการฟอกสีฟัน
การฟอกสีฟันไม่ว่าแบบใดนั้น ไม่สามารถทำให้วัสดุอุดฟัน หรือครอบฟันที่มีอยู่แล้วขาวขึ้นได้ ดังนั้นหากเรามีวัสดุอุดสีเหมือนฟัน หรือครอบฟันอยู่บริเวณฟันหน้า ในบางครั้งหลังจากฟอกสีฟันแล้ว เราอาจจำเป็นต้องเปลี่ยนวัสดุอุดฟันใหม่ หรือทำครอบฟันใหม่ เพื่อให้ได้สีที่กลมกลืนไปกับฟันข้างเคียงด้วย นอกจากนั้น ฟันธรรมชาติบางประเภทก็ตอบสนองต่อการฟอกสีฟันน้อย เช่น ฟันมีสีคล้ำจากยาที่รับประทานในวัยเด็กๆ (Tetracycline stain) โดยหากสีฟันคล้ำมากและการฟอกสีฟันไม่สามารถช่วยได้ เช่นนี้คุณหมออาจแนะนำให้ทำการบูรณะด้วยวิธีอื่นอย่างเคลือบฟันด้วยเซรามิก (ceramic veneer) แทน
สอบถามข้อมูลเพิ่มเติม คลินิกทันตกรรม ชั้น 4 โรงพยาบาลกรุงเทพเชียงใหม่
เวลาทำการ : จันทร์ – อาทิตย์ 08.00-20.00 น.
โทร : 052-089-783 หรือ โทร : 1719
อีเมล์ : [email protected]






