คางยื่นไม่ใช่ปัญหาเล็ก แต่เรามีทางแก้ไข!

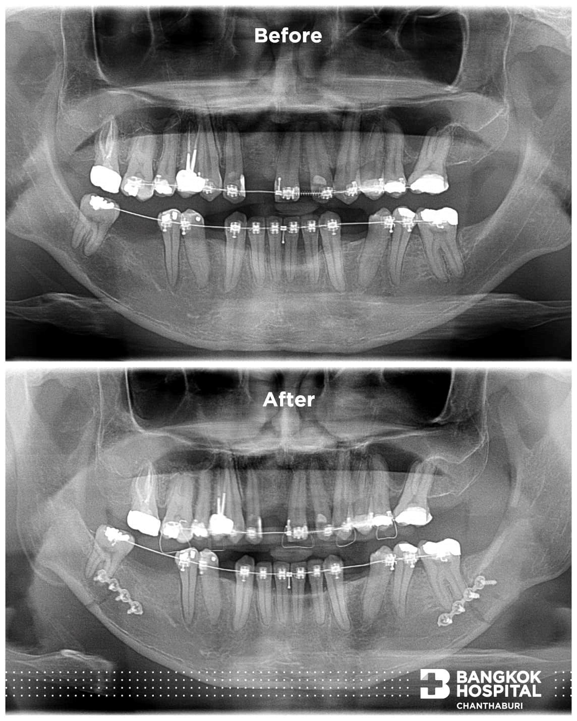
BSSRO (Bilateral Sagittal Split Ramus Osteotomy) การผ่าตัดขากรรไกรล่างที่ช่วยปรับสมดุลของขากรรไกรและฟันได้อย่างมีประสิทธิภาพ พร้อมเปลี่ยนแปลงชีวิตคุณในทุกมิติ
เคสนี้ได้รับการรักษาและผ่าตัดโดย
– ทพ.พงศธร สัจจาธรรม ทันตแพทย์ สาขาศัลยศาสตร์ช่องปากและเเม็กซิลโลเฟเชียล
– นพ. ธวัชพงศ์ วงศ์วิมลณัฐ วิสัญญีแพทย์
ศัลยกรรมขากรรไกรล่าง แบบ BSSRO ช่วยแก้ไขอะไรบ้าง?
– การศัลยกรรมขากรรไกรล่าง แบบ BSSRO ช่วยแก้ไขความผิดปกติของขากรรไกรล่าง ดังนี้
– แก้ไขความผิดปกติขากรรไกรล่าง ที่ภาวะกระดูกขากรรไกรล่างยื่น ถอย และเบี้ยว
– แก้ไขความผิดปกติในการสบฟัน หรือตำแหน่งที่ฟันไม่สัมผัสกันเมื่อกัดฟันเต็มที่
– แก้ไขรูปหน้าที่ไม่สมมาตร หรือผิดสัดส่วนเช่น คางสั้น ยิ้มเห็นเหงือกมาก คางยื่น หรือปากอูมผิดปกติ
– เพิ่มประสิทธิภาพการเคี้ยวอาหาร
– แก้ไขการพูด หรือการกลืน
– ลดการฟันสึกหรือฟันแตกมากเกินปกติ
– แก้การปิดปากไม่สนิทในสภาวะผ่อนคลาย
– บรรเทาอาการหยุดหายใจในขณะนอน หรือภาวะนอนกรน
ทำไมการผ่าตัด BSSRO ถึงสำคัญ?
เคี้ยวอาหารดีขึ้น: การเคี้ยวที่ถูกต้องส่งผลต่อระบบย่อยอาหารโดยตรง
เพิ่มความมั่นใจ: ใบหน้าที่สมส่วนมากขึ้นช่วยเสริมบุคลิกภาพ
สุขภาพดีระยะยาว: ลดปัญหาฟันและขากรรไกรที่อาจส่งผลต่อสุขภาพในอนาคต
BSSRO คือทางเลือกที่เปลี่ยนแปลงชีวิต
จากปัญหาคางยื่นสู่ชีวิตใหม่ที่มั่นใจทั้งด้านสุขภาพและรูปลักษณ์
นัดหมายเพื่อปรึกษาทีมแพทย์ผู้เชี่ยวชาญของเราได้ที่
คลิกเพื่อนัดหมายปรึกษาแพทย์เฉพาะทาง เพื่อเริ่มต้นเส้นทางสู่รอยยิ้มที่มั่นใจ! https://doctor.bangkokhospitalchanthaburi.com/alldoctor.php
#BSSRO #ศัลยกรรมขากรรไกร #คางยื่น #ฟันไม่สบกัน #ปรับโครงหน้า #สุขภาพช่องปาก









